테니스·골프 엘보란 팔꿈치 통증을 유발하는 가장 흔한 퇴행성 질환으로 팔꿈치 근육이 시작되는 부위에 동통이나 압통이 느껴지는 증후군입니다.
팔꿈치 안쪽이 아프면 ‘골프 엘보’라고 합니다.
정확한 진단을 통하여 무조건 비수술적 치료, 무조건 수술적 치료가 아니라
환자의 상태에 맞는 최선의 치료를 선택할 수 있게 합니다.
테니스·골프 엘보가 발생하게 되면
통증이 아래팔로 퍼지는 증상을 느낄 수 있습니다.
통증은 미약한 정도에서 극심한 통증까지 다양하게 나타납니다.
테니스·골프 엘보 치료시기를 놓치고 통증을 방치하게 되면
힘줄이 끊어지는 증상이 발생할수 있습니다.
증상이 심하지 않은 경우에는 비수술적 치료가 가능하지만
이미 끊어진 힘줄은 다시 붙기 어려워 수술로 이어질 수 있습니다.

테니스·골프 엘보란 팔꿈치 통증을 유발하는 가장 흔한 퇴행성 질환으로 팔꿈치 근육이 시작되는 부위에 동통이나 압통이 느껴지는 증후군입니다.

집안일을 많이 하는 주부인 경우
반복적으로 손상을 받은 경우
팔꿈치를 무리하게 사용한 경우
근육이 수축한 경우
퇴행이 진행된 상태에서 팔꿈치를 장시간 구부린 자세를
하게 될 때 근육이 수축되며 힘줄 부위에 더 많은 무리를 주게 되어
테니스 골프 엘보가 발생할 수 있습니다.

팔꿈치 통증으로 인해
일상 생활이 어려움
손목을 위아래로
움직일 때
팔꿈치에 통증
팔꿈치가
저리는 증상
팔꿈치가 붓거나
화끈한 느낌



정확한 진단
& 치료 계획
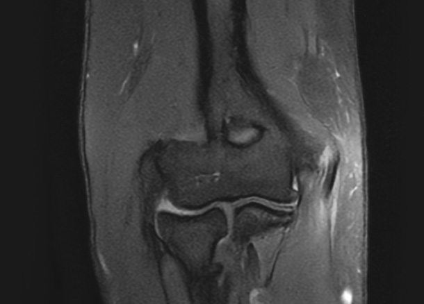
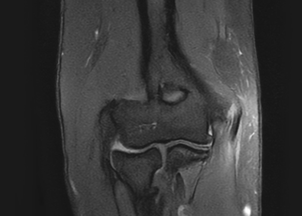
X-Ray, 초음파, MRI 등 검사
신경조직 압박, 신경증상 등 파악
진단 증상에 따라 치료계획을 세웁니다.
비수술 치료
(간헐적 통증)
주사 치료 및 약물치료 - 통증 완화
PRP 주사치료(조직재생치료) - 손상된 인대 재생, 통증 완화
손상된 주변 세포 및 조직 활성화
수술 치료
(1년 이상, 재발)
골프엘보 수술
테니스엘보 관절내시경
손상된 힘줄을 뼈 부착 부위로부터 분리하는 유리술
PRP(자가혈소판 풍부혈장) 조직재생 치료는
기존 스테로이드 주사치료와 비교 시 시술 장기간(6개월) 후
더 나은 기능 상태 개선 및 통증 완화를 보이는 안전하고 유효한
비수술 치료입니다.
기존의 경구 약물치료, 충격파 치료,
스테로이드나 DNA, 콜라젠 주사 등에 효과를 보지 못한
환자분께 고려될 수 있는 좋은 대안입니다.

테니스·골프 엘보 수술은 관절내시경을 삽입하여 팔꿈치 관절의 내부를 들여다보며 팔꿈치의 염증 조직을
뼈로부터 분리하고 심한 염증 조직을 제거하는 수술입니다.

4mm 이하의 초소형 카메라가 달린 관을 삽입하므로
수술 부위의 절개가 작아 출혈이 적고 합병증의 위험이 낮으며 회복이 빠릅니다.
환자분에 따라서는 2cm가량의 절개를 통해 치료하는 경우도 있습니다.
반면 골프엘보 수술은 큰 신경이 바로 옆에 위치하고 있어 관절내시경 수술은 위험하므로
대부분 2cm가량의 절개를 하여 치료합니다.

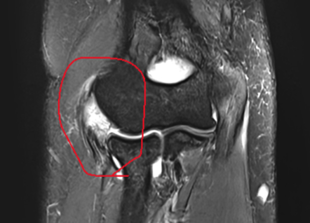
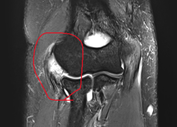
Before 수술 전

Before 수술 전

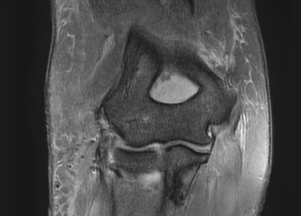
After 수술 후

After 수술 후

1년 후 완전 정상화

1년 후 완전 정상화
* 환자에게 받은 소중한 자료입니다.