약물치료
주사치료
체외충격파치료
도수치료
비수술적 치료 위주로 치료하며, 시기를 놓쳐
굴곡 구축이 남는 경우가 없도록 적절히 수술 시기를 결정합니다.

무지 외반증은 엄지발가락이 두 번째 발가락 쪽으로 휘어지면서 발 안쪽으로 튀어나오는 질환입니다.
엄지발가락 관절 부위가 붓고 염증이 생겨 통증을 유발하며, 심한 경우에는 걷거나 서 있는 것조차 힘들어질 수 있습니다.
가족력이 있는 경우 무지외반증 발생 가능성이 높아집니다.
굽이 높거나 앞볼이 좁은 신발, 발에 맞지 않는 신발을 장시간 착용하면 발에 무리가 가해져 무지외반증이 발생할 수 있습니다.
평발이거나 발이 안쪽으로 과도하게 회전하는 경우(회내) 무지외반증 발생 위험이 높아집니다.
류마티스 관절염, 외상, 신경 근육 질환 등도 무지외반증을 유발할 수 있습니다.

엄지발가락이 두 번째 발가락 쪽으로 휘어짐
엄지발가락 관절 안쪽이 튀어나오고 통증 발생
튀어나온 부위의 발적, 부종, 굳은살
두 번째 발가락 변형 (망치 족지 등)
보행 시 통증, 불편함




비수술 치료
약물치료
주사치료
체외충격파치료
도수치료
4세대 MICA 수술법
최소 침습적
무지외반 교정술
개방적 방법
근위 중족골 절골술
원위 중족골 절골술
스카프 절골술
관절 유합술



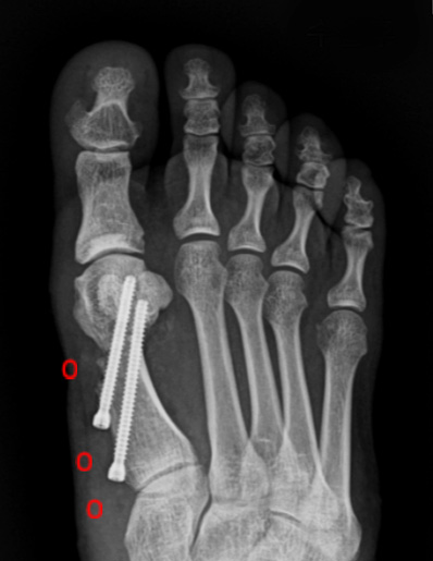
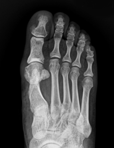
수술 전
수술 후
기구제거 후
* 환자에게 받은 소중한 자료입니다.
작은 구멍을 통해 초음파 절골기를 이용하여 뼈를 절골합니다.
4세대 MICA 방법을 이용하면 개방적 방법만큼의 각 교정도 가능하기 때문에
중등도 이상의 큰 각도의 무지외반증에도 충분히 적용이 가능합니다.
근위 중족골 절골술과 스카프 절골술의 경우 교정력이 좋기 때문에 주로 중증 무지외반증에 적용합니다.
개방형 원위 절골술의 경우 절골 방법은 MICA 와 비슷하지만 조금 더 안정적이고 절개가 크지 않으면서
연부조직의 처리가 같이 가능하기 때문에 필요한 경우 적용할 수 있습니다.
절개 수술법의 경우 큰 각도의 변형을 교정할 수 있습니다.
첫번째 사진을 보면 중족골두에서 근위지골의 기저부가 완전히 벗어나 있는 것을 확인할 수 있고,
수술 후에는 관절이 잘 맞아 들어간 것을 확인할 수 있습니다.