골절이 심하지 않은 경우에는 깁스로 고정해서 유합을 시킬 수 있으나, 정도가 심한 경우에는 손,발목 골절 수술을 진행할 수 있습니다.
(부위에 따라 다르지만 쇄골, 슬개골 등의 부위도 최대한 당일 수술을 지향합니다.)
※ 물 & 커피 포함 일체 금식 및 금연

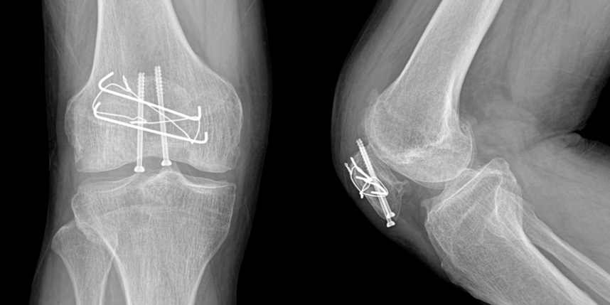
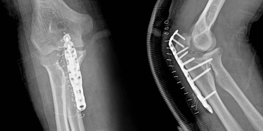
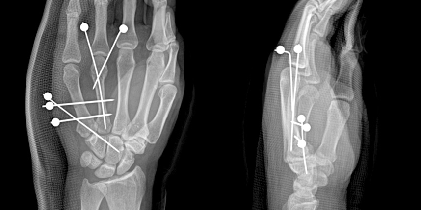
골절은 정확하게 골절편을 잘 맞추고 고정하는 것이 중요합니다. 특히 관절면을 잘 맞추는 것이 중요합니다.
또한 수술 이후 빠른 재활을 통해 전체적인 회복을 도모하여 일상으로 빨리 복귀할수 있도록 해야 합니다.
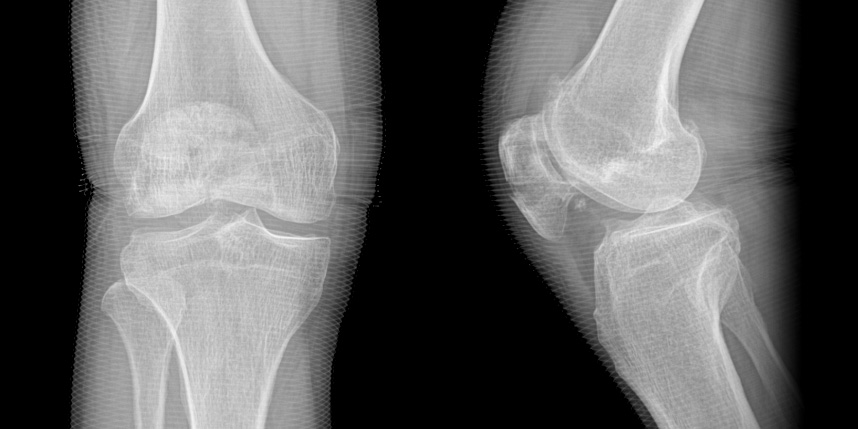
감탄정형외과는 정확한 초기 진단을 통해 골절 발생일로부터 최대한 빨리 원래의 뼈 상태에 가깝게 원복시키고,
이후 적절한 보호기간과 철저한 재활 치료를 통해 가장 빠르게 일상으로 복귀할 수 있는 코스를 제시해드립니다.
뼈에 금이 가거나 부러진 상태를 말합니다. 외부 충격, 낙상, 교통사고 등 다양한 원인으로 발생할 수 있으며,
모든 연령대에서 발생 가능하지만 특히 어린이와 노인에게서 흔하게 발생합니다.







무릎 골절
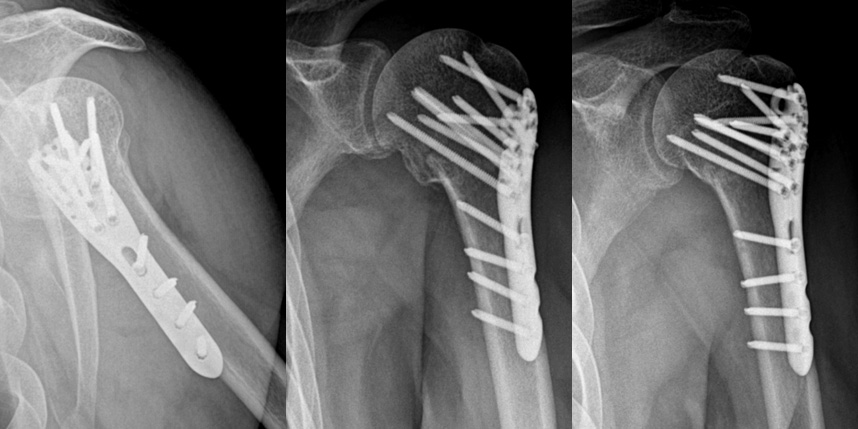
상완골 골절
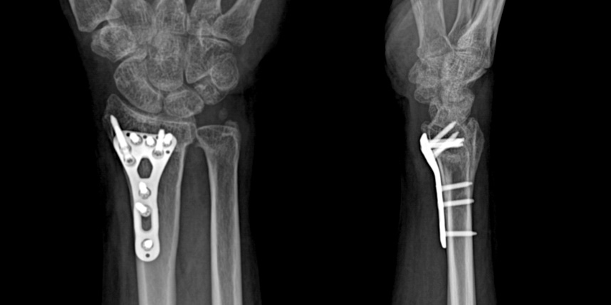
손목 골절
손가락 골절
* 환자에게 받은 소중한 자료입니다.