정확한 진단을 통하여 무조건 비수술적 치료, 무조건 수술적 치료가 아니라
환자의 상태에 맞는 최선의 치료를 선택할 수 있게 합니다.
무릎 외래 교수 전문의 무릎 재생술, 십자인대 재건술, 반월상 연골판 수술부터 비수술 치료와 회복 관리까지 책임집니다.
풍부한 경험과 전문성을 갖춘 무릎 전문의가 정밀 검진과 정확한 진단을 통해 환자에게 꼭 맞는 치료법을 제시합니다.

지속적인 증상이 동반된 반월상 연골판 파열에 적용하는 수술적 치료방법입니다.

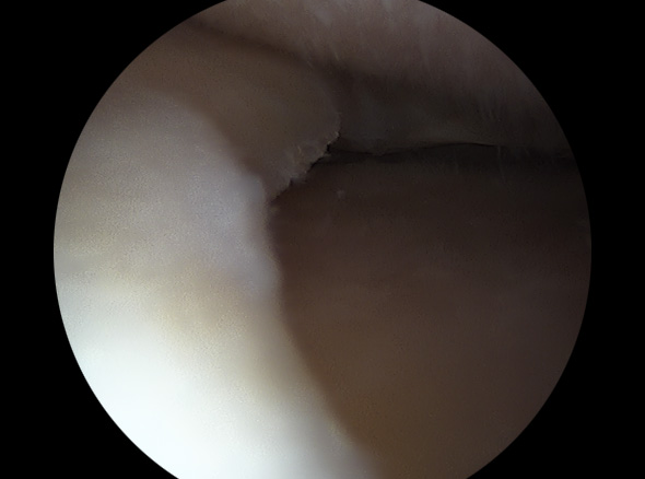
불안정한 반월상연골 부위를 내시경으로 확인하여 파열된 연골판을 꿰맴
약 7mm 정도의 2~3개의 작은 구멍을 무릎 관절 주변에 뚫고
초소형 카메라가 달린 내시경을 삽입한 후 내부를 확인하며
손상된 반월상 연골판을 다듬어줍니다.
반월상 연골판 파열 정도에 따라서 절제술, 봉합술로 나눠 수술을 결정합니다.
* 환자의 동의를 받은 소중한 자료입니다.



